| Exam Name: | AE Adult Echocardiography Examination | ||
| Exam Code: | AE-Adult-Echocardiography Dumps | ||
| Vendor: | ARDMS | Certification: | RDCS |
| Questions: | 137 Q&A's | Shared By: | sidra |
Where would a Swan-Ganz catheter be best visualized?
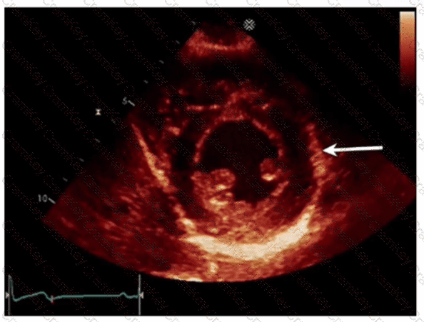
Which left ventricular regional wall segment is indicated by the arrow on this image?

Which statement is considered true regarding tricuspid annular plane systolic excursion (TAPSE)?
The respirometer should be turned on when assessing which possible disease process(es)?