Winter Sale Limited Time 60% Discount Offer - Ends in 0d 00h 00m 00s - Coupon code: big60

ARDMS Updated AE-Adult-Echocardiography Exam Questions and Answers by francisco

Page: 4 / 10

ARDMS AE-Adult-Echocardiography Exam Overview :

Exam Name: AE Adult Echocardiography Examination
Exam Code: AE-Adult-Echocardiography Dumps
Vendor: ARDMS Certification: RDCS
Questions: 137 Q&A's Shared By: francisco
Question 16

Which condition is most likely suggested by an apically sparing "cherry on top" left ventricular strain pattern?

Options:

A.

Athlete's heart

B.

Amyloidosis

C.

Hypertension

D.

Hypertrophic cardiomyopathy

Discussion
Question 17

Which method is appropriate for measuring the left atrial diameter in parasternal long axis?

Options:

A.

Inner edge to inner edge, perpendicular to the aortic root, at end-diastole

B.

Inner edge to inner edge, parallel to the aortic root, at end-diastole

C.

Inner edge to inner edge, perpendicular to the aortic root, at end-systole

D.

Outer edge to outer edge, perpendicular to the aortic root, at end-systole

Discussion
Faye
Yayyyy. I passed my exam. I think all students give these dumps a try.
Emmeline Jan 9, 2026
Definitely! I have no doubt new students will find them to be just as helpful as I did.
Addison
Want to tell everybody through this platform that I passed my exam with excellent score. All credit goes to Cramkey Exam Dumps.
Libby Jan 4, 2026
That's good to know. I might check it out for my next IT certification exam. Thanks for the info.
Alaia
These Dumps are amazing! I used them to study for my recent exam and I passed with flying colors. The information in the dumps is so valid and up-to-date. Thanks a lot!!!
Zofia Jan 26, 2026
That's great to hear! I've been struggling to find good study material for my exam. I will ty it for sure.
Pippa
I was so happy to see that almost all the questions on the exam were exactly what I found in their Dumps.
Anastasia Jan 7, 2026
You are right…It was amazing! The Cramkey Dumps were so comprehensive and well-organized, it made studying for the exam a breeze.
Peyton
Hey guys. Guess what? I passed my exam. Thanks a lot Cramkey, your provided information was relevant and reliable.
Coby Jan 4, 2026
Thanks for sharing your experience. I think I'll give Cramkey a try for my next exam.
Question 18

Which of the following are key features of an unrepaired tetralogy of Fallot?

Options:

A.

Displaced tricuspid valve, atrialization of the right ventricle, severe tricuspid regurgitation, and a secundum atrial septal defect

B.

Supravalvular mitral valvular ring, subaortic membrane, bicuspid aortic valve, and aortic coarctation

C.

Inlet ventricular septal defect, common atrioventricular valve, atrioventricular valve regurgitation, and primum atrial septal defect

D.

Outlet ventricular septal defect, overriding aorta, right ventricular outflow tract obstruction, and right ventricular hypertrophy

Discussion
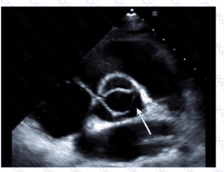
Question 19

Which structure is indicated by the arrow on this image of a normal valve?

Questions 19

Options:

A.

Posterior leaflet

B.

Septal leaflet

C.

Non-coronary cusp

D.

Left coronary cusp

Discussion
Page: 4 / 10

AE-Adult-Echocardiography
PDF

$42  $104.99

AE-Adult-Echocardiography Testing Engine

$50  $124.99

AE-Adult-Echocardiography PDF + Testing Engine

$66  $164.99