| Exam Name: | AE Adult Echocardiography Examination | ||
| Exam Code: | AE-Adult-Echocardiography Dumps | ||
| Vendor: | ARDMS | Certification: | RDCS |
| Questions: | 137 Q&A's | Shared By: | mikail |
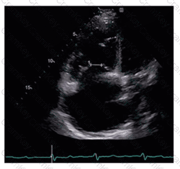
What can be concluded about the tricuspid valve demonstrated in this image?

In patients with interrupted aortic arch, which structure allows Wood to flow into the descending aorta?