Winter Sale Limited Time 60% Discount Offer - Ends in 0d 00h 00m 00s - Coupon code: big60

ARDMS Updated AE-Adult-Echocardiography Exam Questions and Answers by tia

Page: 2 / 10

ARDMS AE-Adult-Echocardiography Exam Overview :

Exam Name: AE Adult Echocardiography Examination
Exam Code: AE-Adult-Echocardiography Dumps
Vendor: ARDMS Certification: RDCS
Questions: 137 Q&A's Shared By: tia
Question 8

Which unit of measurement is used to quantify tricuspid annular plane systolic excursion?

Options:

A.

Centimeters

B.

Centimeters/second

C.

MiHiliters/minute

D.

Millimeters of mercury

Discussion
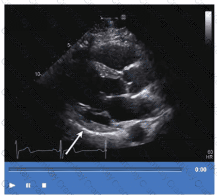
Question 9

Which wall is indicated by the arrow on this video?

Questions 9

Options:

A.

Anteroseptum

B.

Anterolateral

C.

Inferoseptum

D.

Inferolateral

Discussion
Anaya
I found so many of the same questions on the real exam that I had already seen in the Cramkey Dumps. Thank you so much for making exam so easy for me. I passed it successfully!!!
Nina Jan 12, 2026
It's true! I felt so much more confident going into the exam because I had already seen and understood the questions.
Kingsley
Do anyone guide my how these dumps would be helpful for new students like me?
Haris Jan 12, 2026
Absolutely! They are highly recommended for anyone looking to pass their certification exam. The dumps are easy to understand and follow, making it easier for you to study and retain the information.
Annabel
I recently used them for my exam and I passed it with excellent score. I am impressed.
Amirah Jan 2, 2026
I passed too. The questions I saw in the actual exam were exactly the same as the ones in the Cramkey Dumps. I was able to answer the questions confidently because I had already seen and studied them.
Zayaan
Successfully aced the exam… Thanks a lot for providing amazing Exam Dumps.
Harmony Jan 5, 2026
That's fantastic! I'm glad to hear that their dumps helped you. I also used them and found it accurate.
Georgina
I used Cramkey Dumps to prepare for my recent exam and I have to say, they were a huge help.
Corey Jan 4, 2026
Really? How did they help you? I know these are the same questions appears in exam. I will give my try. But tell me if they also help in some training?
Question 10

Which is an abnormal response to a stress echocardiogram?

Options:

A.

Hyperdynamic wall motion

B.

Increased end-systolic volume

C.

Increased ejection fraction

D.

Decreased end-diastolic volume

Discussion
Question 11

Which syndrome is associated with pulmonic stenosis?

Options:

A.

Turner

B.

Eisenmenger

C.

Noonan

D.

Marfan

Discussion
Page: 2 / 10

AE-Adult-Echocardiography
PDF

$42  $104.99

AE-Adult-Echocardiography Testing Engine

$50  $124.99

AE-Adult-Echocardiography PDF + Testing Engine

$66  $164.99